Studio Stradiot | T/F. +385.51.212.578 | Contatto

I nostri servizi

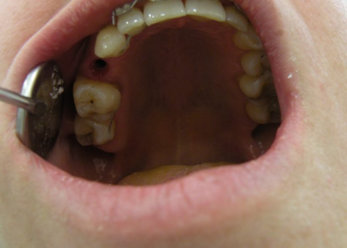
Interdisciplinarietà

Si tratta di una collaborazione interdisciplinare di un team di vari specialisti in odontoiatria, con un unico scopo: il raggiungimento di risultati perfetti nella riabilitazione della cavità orale di ogni singolo paziente.



Galleria